Descubre la evolución
en Ortodoncia:
ORTODONCIA NATURAL
¿Quién es el Dr. Alan Rodrigues?
Profesor y director científico del European Ortodonthic Center – EU. Postgraduado por la Roth-Williams Center de Oclusión Funcional. San Francisco. CA. USA. Autor de tres libros sobre Ortodoncia Autoligble.
Creador del Arco Biológico Peek y sistema de ortodoncia Invisible Fast aplicado con inteligencia artificial, autor de libros clínicos de ortodoncia, diseñador y creador del bracket estético autoligable más pequeño del mundo. Autor de la filosofía de bioadaptación transversal maxilar (Filosofía MTB). Propietario de Invisible Ortho Factory Europe y miembro de i2AI.
Perfil Profesional
Experiencia: Más de 38 años en ortodoncia avanzada.
Innovador: Creador de la Filosofía de Bioadaptación Transversal de los Maxilares (BTM).
Educador: Director Científico del Centro Europeo de Ortodoncia.
Autor: Cuatro libros clave en ortodoncia autoligable.
Conferencista: Ha impartido cursos en más de 20 países.
Perfil academico
Máster en Dolor Orofacial – Escola Paulista de Medicina, Brasil.
Residencia en Trastornos Temporomandibulares – Universidad de Minnesota, EE.UU.
Posgrado en Oclusión Funcional – Centro Roth-Williams, San Francisco, EE.UU.P
osgrado en Ortodoncia – Centro Europeo de Ortodoncia, Portugal.
ORTODONCIA NATURAL
Filosofía de la Bioadaptación Transversal
de los Maxilares (BTM)
Encuentra todo
lo necesario
para aplicar la
Filosofía BTM
en el Kit Slimclear
de Tecnident.
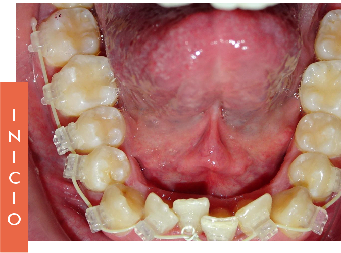
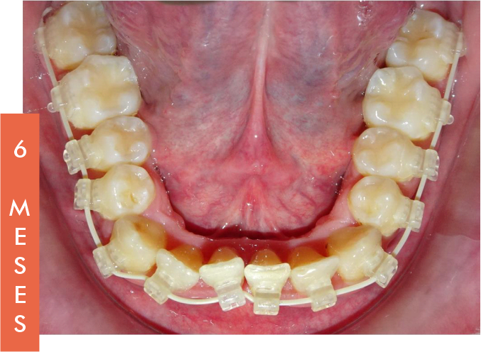
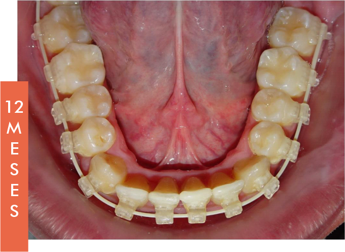
La BTM permite restaurar el Arco Natural Dentoalveolar, mejorando notablemente la estética dental y facial del paciente. Esta filosofía busca devolver una oclusión funcional y estable, respetando la anatomía natural.
Los segundos molares superiores, clave en esta técnica, se mantienen protegidos de fuerzas externas, sirviendo como punto de referencia para lograr una expansión transversal eficaz y controlada.
Esto convierte a la BTM en una herramienta esencial para tratamientos que respetan la biología del paciente.
BENEFICIOS
- Tratamientos más rápidos y seguros.
- Tratamientos 100% libres de metales.
- Aplicación de fuerzas ortodonticas naturales
- Reducción del tiempo de tratamiento y número de visitas.
- Mejora en la estética facial y funcionalidad oral.
- Aplicación de fuerzas ortodóncicas que respetan la fisiología del paciente. Fuerza aplicable de arcos de 20g.